了解窝沟封闭
作者:丁婷婷 2021-08-09 21:59:01 来源:“北京儿童医院口腔科”公众号 浏览次数:
1. 什么是窝沟封闭?
窝沟封闭是一种预防窝沟龋、而不损伤牙体组织的方法:将窝沟封闭材料涂布于牙冠咬合面、颊舌面的窝沟点隙内,填平窝沟,固化变硬,形成一层保护性屏障,覆盖在窝沟上,能够阻止致龋菌及酸性代谢产物侵蚀牙体组织。
2. 做窝沟封闭的意义
儿童的口腔清洁能力差,而新萌出的后牙牙面上窝沟较深。食物进入窝沟后,不易被清洁出来,容易发生龋齿。窝沟封闭后牙齿的窝沟被填平,使牙面变得光滑、易清洁。
3. 窝沟封闭及复查的时间
窝沟封闭的最佳时机为牙齿完全萌出,且尚未发生龋坏时:
乳磨牙3-4岁,第一恒磨牙6-7岁,第二恒磨牙11-13岁。

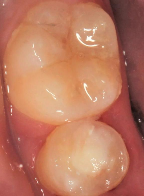
图1 窝沟封闭前的牙齿咬合面
(图片来源于网络)

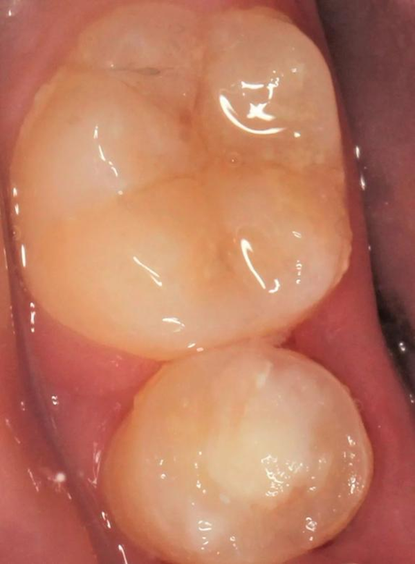
图2 窝沟封闭后的牙齿咬合面
(图片来源于网络)
窝沟封闭后要定期复查:封闭剂可能脱落,所以窝沟封闭后要定期复查,一般3-6个月复查1次,有脱落的位置及时重新封闭。
窝沟封闭后,牙齿其他部位仍存在患龋风险,需要配合正确的刷牙方法及合理的牙线使用方法。
了解了窝沟封闭,家长们注意孩子牙齿萌出情况,及时做窝沟封闭吧。
小结
新萌出的后牙牙面上窝沟较深,食物不易被清洁出来,容易发生龋齿。
窝沟封闭是预防窝沟龋的有效措施,最佳时机为:乳磨牙3-4岁,第一恒磨牙6-7岁,第二恒磨牙11-13岁。
窝沟封闭后要定期复查,且需配合正确的刷牙方法及合理的牙线使用方法。
作者简介

丁婷婷,首都医科大学附属北京儿童医院口腔科主治医师,毕业于北京大学口腔医学院,获口腔医学博士学位。主要从事儿童龋病及牙髓病等儿童口腔疾病的治疗,临床工作经验丰富。
上一篇: 一笑就露牙龈的尴尬
下一篇: 你家宝宝新换的牙是不是有哪里不一样?









.jpg)

.jpg)




