险!5厘米钢针扎入2岁男童胸腔 急!北京儿童医院6小时多科协作15分钟成功取出
2018-12-25 16:06:30
来源:胸外科
浏览次数:
2018年12月15日,一场“速战速决”的手术后,康康(化名)父母悬着的心终于落了地,在短短的1天时间里,因为两岁半的儿子康康,他们的心情犹如坐了一次过山车。
12月14日,因为咳嗽、咳痰在当地治疗两天不见效后,康康被当地医生“劝”到了北京。一路上,康康父母始终没想明白,小小“感冒”为啥要来北京?直到掏出在当地医院拍的胸片后,北京儿童医院急诊大夫的一番话,才让父母二人着实庆幸而又异常紧张起来。
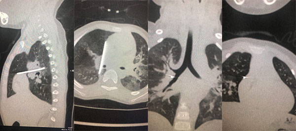
后续检查进一步显示,孩子胸腔内有一根疑似钢针的异物,孩子年龄小,异物长,针尖朝着心脏的方向,紧挨大血管和气管。心脏在跳动,肺部也随着呼吸在动,稍稍一个体位的变化或者深呼吸,都有可能造成针的移动,随时都有扎破血管的风险,后果不堪设想。

情况危急!康康被迅速收入院,住进了北京儿童医院胸外科。手术当天恰逢周六,胸外科曾骐主任紧急召集科室团队回医院讨论急诊手术方案,大家克服重重困难,在第一时间赶回医院。考虑到患儿病因不明,病史不清,金属异物可能存在锈蚀等情况,结合术前增强CT,手术取出过程中由于腐蚀的异物可能损伤大血管、气管、肺组织,导致术中大出血、气管漏而出现生命危险。经过与家长充分沟通,为确保手术安全,北京儿童医院胸外科与放射科充分讨论异物进入胸腔的几种可能,决定采用胸腔镜微创手术,最大限度减少康康的痛苦,同时制定了可以应对术中各种可能出现情况切实可行的序贯式手术方案。

按照方案,胸外科紧急联系介入肺科焦安夏主任术前行气管镜探查了解气道情况;联系麻醉科术中实施单肺通气,防止术中由于气管内出血影响对侧肺通气,同时保障术侧肺组织萎陷,良好暴露肺门处结构,减少术中由于呼吸运动可能引起的异物继发损伤;胸外科团队做好胸腔镜及可能开胸的手术前准备,联系血库备血;联系心脏外一科李晓峰主任,在手术过程中一旦出现胸腔内不易控制的大出血,为保障肺门血管及气管的重建,准备好打开心包在心包内阻断大血管进行修补;联系超声科贾立群、王晓曼主任,为防止术中钢针移位的可能,必要时随时支援协助术中超声定位。
手术于当天下午13点30分开始,麻醉科滑蕾医生采用气管封堵器实施单肺通气,快速实现术侧肺组织萎陷。麻醉成功后,由介入肺科焦安夏主任团队进行气道探查,发现右上叶支气管局部粘膜凸起,考虑异物为外压所致。证实术前判断异物是从胸壁进入胸腔,决定行胸腔镜探查异物取出术。胸外科曾骐主任和陈诚豪副主任刷手上台、配合默契,在右侧胸壁快速建立3个直径5毫米手术切口,经过15分钟紧张的胸腔镜微创手术操作,快速并顺利自肺内将5厘米长的异物取出,手术顺利完成,没有出现大出血等并发症。
相比常规开胸手术十几厘米的大切口,微创手术损伤小,患儿术后切口愈合和恢复更快,但在操作技术,对主刀医生提出了更高的要求。术后,曾骐主任拿着取出来的钢针给家长看,交待术中没有开胸,是微创手术取出来时,守在手术室外的康康父母终于长舒了一口气,对着医生,深深鞠躬,一个劲儿的说“谢谢”。

健康所系,性命相托。从入院到手术成功,北京儿童医院多科协作,6小时内快速实施急诊胸腔镜异物取出手术,再一次诠释了国家儿童医学中心的综合实力和心系患儿、精诚合作的敬业精神。

几天的术后观察后,12月21日,康康顺利出院!“想想都觉得后怕,幸亏当时没犹豫,直接就来了北京儿童医院”,看到重回健康的孩子,康康父母难掩心中的喜悦,再一次表达了对医院、对医生的感谢!









.jpg)

.jpg)




