孩子得了淋巴管畸形,怎么办?
姗姗1岁时,家长无意中发现她的脖子上鼓出来一个小包,后来包块越来越大,呼吸都有些急促,姗姗的病情逐渐加重,右侧颈部凸起一个犹如皮球大小的包块,巨大的包块使宝宝的头偏向一侧,在包块压迫下,姗姗已经面色苍白、呼吸困难!家长非常着急,经多方打听,来北京儿童医院寻求救治。经过专家的详细检查,考虑姗姗得了“淋巴管畸形”。专家们感觉到姗姗病情的复杂且凶险,巨大的包块像个小山包一样裹着颈部大血管,还压迫气管,从脖子一直达到了胸腔,稍有不慎,可能会导致生命危险。
疾病介绍
01
淋巴管畸形是什么?
淋巴管畸形,以往也叫“淋巴管瘤”,实际上并不是真正的肿瘤,而是一种良性的先天性畸形。正常情况下,人体内有丰富的细小的淋巴管道,互相混合成网,再逐渐汇集成一系列由小到大的各级管道,负责运送体内的蛋白质,脂肪,以及淋巴细胞等,具有重要的功能。
02
为什么会发生淋巴管畸形?
目前医学还没有完全研究清楚,一般认为是由于患儿在妈妈肚子发育过程中,由于某种原因使得淋巴管系统紊乱,造成某些部位的淋巴管道异常生长和扩张,局部形成一团紊乱的结构,从而在身体表面或体内形成肿块样的病变。大约2000-4000个孩子中就有一个会发生这种疾病,多数在2岁前发病,约一半的患者出生时即发现得了这种病。
03
淋巴管畸形有哪些类型?
根据淋巴管囊腔大小和形态,可分三种类型。
【巨囊型】
由1个或多个体积较大的囊腔构成,各个囊腔之间有时是互相联通的,囊腔内包含着水一样的液体,这种类型治疗效果较好。

【微囊型】
由多个体积很小的囊腔构成,内部就像蜂窝; 有些病变就如同盘根交错的树根,向四周到处生长,难以分辨边界,这种类型治疗很困难,效果较差。

【混合型】
包含以上两种病变形态,治疗效果介于二者之间。

04
淋巴管畸形如何确诊?
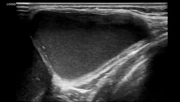
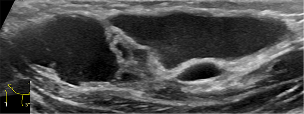
由于淋巴管畸形可发生在身体的任何部位,大多数发生在头颈部,其次为腋窝、纵膈及四肢。通常进行超声、磁共振、CT、诊断性抽液等检查,必要时依据情况进行穿刺活检,基本可以确诊。当怀疑患有淋巴管畸形时,应首先做超声检查,查清楚病变的部位、性质、大小及与周围组织的关系,评估是否需要治疗以及如何治疗。

淋巴管畸形超声:精准定位病灶部位范围以及与周边脏器的关系
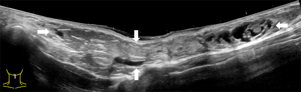
超声难以确诊的病例,或病变周围结构较复杂(如在颈部、纵隔等部位)以及位置较深(如在腹腔、盆腔等部位)治疗难度大、风险高时,往往需加做磁共振检查,更精确评估病情。当影像学检查难以诊断时,也可行诊断性穿刺,若穿刺抽出淡黄色清亮淋巴液即可诊断为淋巴管畸形,若抽出陈旧性血液结合细胞学检查可诊断为淋巴管瘤伴出血。

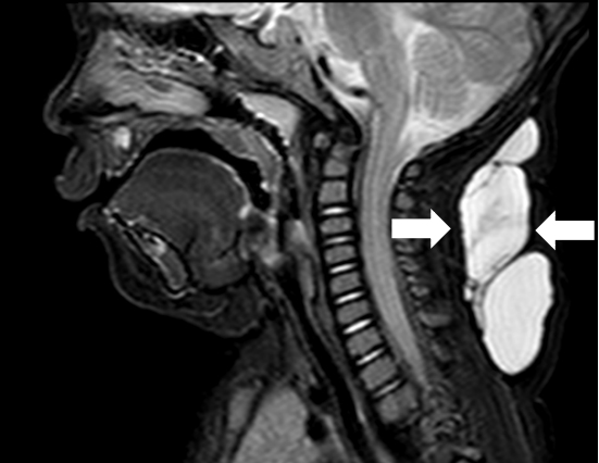
淋巴管囊肿磁共振检查

淋巴管畸形术中抽出液体
(可呈淡黄色清亮或陈旧性血性液体)
05
淋巴管畸形为什么要积极治疗?
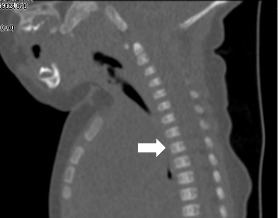
通常情况下淋巴管畸形生长缓慢,但是很少自己消退,随着年龄增长病变会越来越大。在遭受外伤、感染及囊内出血或不适当治疗后,常突然增大。如果淋巴管畸形生长在特殊部位,则可能影响容貌,导致身体畸形,压迫重要器官(如气管、心脏等)引起功能障碍,造成长期后遗症,甚至危及患儿生命。故对该病需要采取积极恰当的治疗措施。

纵隔巨大淋巴管畸形压迫气管影响呼吸
06
淋巴管畸形怎么治疗?
目前淋巴管畸形的治疗方法多种多样,包括硬化治疗、手术治疗、热消融治疗、口服药物治疗等,尚无一种方法适合所有类型的淋巴管畸形,需要根据每位患儿的具体情况选择最为合适的方法。
【1.硬化治疗】
硬化治疗对巨囊型和混合型淋巴管畸形疗效较好;微囊型淋巴管畸形由于内部囊腔较多且小,药物难以分布到所有囊腔,单独治疗疗效较差。与手术治疗相比,硬化治疗有较多的优点:
① 创伤很小,不损伤重要神经、血管、腺体、肌肉等组织结构;
② 超声监视下进行治疗,操作相对简便,安全性高;
③ 外形恢复良好,无明显瘢痕。
目前常用的硬化剂有博来霉素(平阳霉素)、聚桂醇/聚多卡醇、 OK-432(沙培林)等,缺点是有时需要多次治疗。
【2.手术治疗】
手术治疗是过去最主要的,甚至是唯一的治疗手段,但是手术创伤较大,容易遗留瘢痕,影响患儿的外观,目前只有极少数病例需要在婴幼儿期行手术切除。
此外,头颈部解剖结构复杂,重要组织器官聚集,加之微囊型病变呈浸润式生长,与正常结构无明显界限,因此彻底切除十分困难,容易造成严重的副损伤,术后复发率也很高。
因此,通常在硬化治疗效果欠佳,或有危及生命的并发症时才考虑手术。对于大面积的病灶,可联合应用手术、硬化、热消融等方法。
【3.热消融治疗】
热消融治疗方法(微波、射频、激光消融等)在儿科领域的应用,为复杂淋巴管畸形的治疗带来了新的突破。
超声引导下热消融治疗术是将一根很细的电极准确地放入病灶内,局部产生高温,将病灶组织彻底毁损,由于治疗全过程都在超声的监视之下,可以精准控制治疗范围,最大程度减灭病灶,并保护周边重要的器官和组织(如神经、血管等)。与手术治疗相比,热消融治疗损伤更小,且治疗可控性更高;与硬化治疗相比,热消融治疗对淋巴管的毁损更彻底,因此治疗次数更少,效率更高。
热消融治疗对混合型和微囊型淋巴管畸形也具有较好的疗效。对于部分复杂或病变范围较大的淋巴管畸形,与硬化治疗联合应用可获得更好的疗效,更低的复发率。

【4.口服药物治疗】
口服药物治疗目前是淋巴管畸形治疗研究的热点。研究发现,西罗莫司等药物对淋巴管畸形可能有效,部分患者的病灶体积缩小。但部分患者对药物反应不佳,甚至无效,且有发生高脂血症和中性粒细胞减少症等不良反应的风险。有待进一步研究来分析疗效和长期不良事件。
珊珊治疗的后续
针对珊珊的病情,医院立即启动多学科会诊,迅速召集耳鼻咽喉头颈外科、超声科、口腔颌面外科、重症医学科、影像科、麻醉科等相关科室专家会诊。通过集体讨论,最终决定采用超声引导下微波消融联合药物注射治疗的方法,并为患儿制定出一整套周密的方案。最终,经过充分准备,在多科室配合下,手术由超声科石文媛主任带领团队有惊无险地顺利完成。手术后,按照预定方案,姗姗立即转入专科病房看护,经多科室通力协作,对患儿进行了一个多月的综合调理,姗姗终于转危为安,顺利出院。

专业化介入超声团队
北京儿童医院介入超声团队集超声诊断与超声引导下介入治疗于一体,拥有独立的手术室,年均完成各类介入性超声诊治1000余例,其中各类疑难复杂病例占比过半。目前使用微波消融联合硬化治疗的方法成功治疗了多例复杂难治性淋巴管畸形,在淋巴管畸形微创治疗领域积累了丰富的经验。


【多学科联合会诊】
北京儿童医院实力雄厚,针对复杂淋巴管畸形在内的多种儿童疑难复杂疾病建立了成熟的多学科团队,成员包括耳鼻咽喉头颈外科、超声科、口腔颌面外科、影像科、麻醉科、病理科、重症医学科等科室专家,术前由各科室会诊,根据每一位患儿的特点,选择最适合的治疗方式,制订出个性化的治疗方案,术中由多个学科团队保驾护航,术后有专业的医护团队负责看护,最大程度的保证疗效并保障患儿安全。

上一篇: 甲状腺功能亢进症微波消融治疗









.jpg)

.jpg)




