甲状舌管囊肿
2024-08-26 17:39:33 浏览次数:
“大夫,我家孩子脖子上长了一个包,但是不疼也不痒,您帮我看看到底怎么回事?”经超声大夫检查后,孩子确诊为“甲状舌管囊肿”。

1、什么是甲状舌管囊肿?
甲状舌管囊肿(thyroglossal ducts cysts, TGDC)是儿童颈部常见的先天性囊肿。它是甲状舌管残余上皮形成的囊肿,典型表现为颈中线甲状舌骨膜水平的肿块,紧邻舌骨。发病部位多位于舌骨中线、舌骨上方或舌骨稍下方。正常胚胎在第6周时由甲状腺始基向尾侧下移形成的甲状舌管开始退化,远端形成甲状腺,到胚胎第8~10周时导管完全消失,仅在舌根背侧遗留一盲孔。若甲状舌管未退化消失,导管上皮细胞残余,可在甲舌导管行经途中于任何处形成囊肿或瘘管,最多的是位于舌骨与甲状腺之间,也有少数发生于舌根舌盲孔处。

2、甲状舌管囊肿有哪些特点呢?
甲状舌管囊肿多表现为颈前正中圆形或类圆形肿块,边界清,质地较软, 活动度较好, 与皮肤及周围组织无粘连,可随吞咽及伸舌运动而上下移动,为其重要特征。
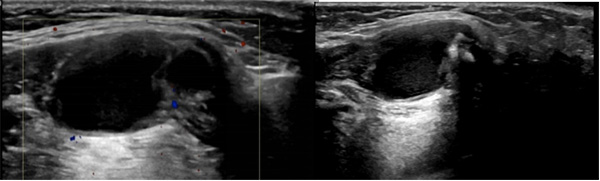
3、那怎么诊断?
超声是诊断甲状舌管囊肿的首选检查方法。

甲状舌管囊肿典型的超声表现为:
⑴ 颈前正中圆形/类圆形囊性结节,边界清,多为单发,包膜完整、囊壁薄而光滑、后方回声增强;囊肿内容物多为粘液样或胶冻样物质,故内部回声常为低弱回声;
⑵ 伴有感染时囊壁厚、不规则,囊内可见较密集的细小点状回声;
⑶ 瘘管检出率较低;
⑷ 囊肿内部无血流信号;当合并感染时,边缘可显示较丰富血流信号。
4、甲状舌管囊肿治疗方式有哪些?
甲状舌管囊肿不能自愈,目前治疗甲状舌管囊肿方式包括:
⑴ Sistrunk术式,切除范围包括囊肿、舌骨中段三分之一和舌盲孔周围部分舌根组织。
⑵ 超声引导下甲状舌管囊肿的硬化治疗,是在实时超声引导下,经皮穿刺,将很细的针置入囊腔中,完全抽出囊液后,再注入硬化剂(聚多卡醇),使囊肿壁内的上皮细胞脱水、变性、凝固性坏死,囊壁不再分泌囊液而囊肿闭合、消失。该技术具有微创,方法简便,治疗成本低,并发症少,颈部不遗留瘢痕等优势。小朋友痛苦小,恢复较快,住院时间可缩短至1天。
上一篇: 外伤缝合
下一篇: 甲亢患儿的希望之光:儿童甲亢微波消融治疗









.jpg)

.jpg)




