多学科协作,成功切除15岁少年复发性巨大纵隔肿瘤
2025-11-10 19:13:54 来源:胸外科 浏览次数:
11月10日,经北京儿童医院胸外科、耳鼻咽喉头颈外科、心脏外科、麻醉科手术室、影像中心等多学科团队精准协作,接受了极高难度颈纵隔巨大脂肪母细胞瘤切除术的15岁青少年小宇(化名),顺利出院。
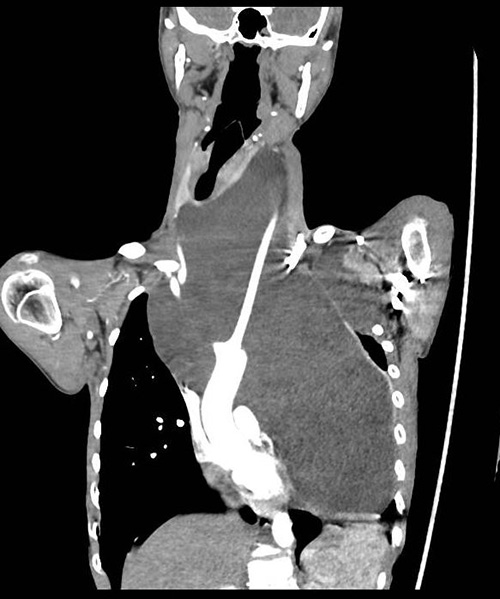
患儿小宇(化名)曾因脂肪母细胞瘤在外院分别接受过颈部、胸部手术。近期,肿瘤再次复发并迅猛增长,巨大的瘤体跨越颈部、胸腔,心脏、气管严重受压,导致他无法平卧入睡,呼吸与循环系统承受着巨大压力。
面对这一复杂病例,北京儿童医院迅速启动多学科联合会诊机制。在耳鼻咽喉头颈外科知名专家、院长倪鑫的带领下,多学科专家团队共同研判认为,患儿既往手术后,胸腔内粘连严重,解剖结构不清,且复发肿瘤包绕心脏几乎所有的大血管及颈部重要血管神经,手术难度与风险极高。尽管手术难度与风险极高,但这是挽救小宇生命的唯一途径,必须全力以赴。
为确保手术成功,多学科团队制定了“分区域、精准接力”的手术方案,各环节紧密衔接、环环相扣。
由于小宇的气管被颈纵隔肿瘤挤压推挤严重变形,麻醉插管成为手术的第一道难关。影像中心副主任医师王蓓经CT图像准确测量变形气管的长度及最窄部位直径,为麻醉医生选择气管插管的型号提供重要依据。由于气道受压严重,正常气管插管无法通过气道最窄位置,麻醉科副主任(主持工作)王芳、副主任李立晶团队为小宇申请特制的气管插管,并成功实施麻醉,手术顺利开始。
手术先由胸外科主任医师曾骐教授、科主任陈诚豪、心脏外科李志强主任团队开胸,首先切除位于胸腔内的大部分瘤体,解除心脏、大血管及气管压迫,改善循环功能。
随后,耳鼻咽喉头颈外科王生才主任团队加入,联合进行颈部及颈胸交界部位的手术,精准地切除了颈胸部的肿瘤组织。在致密的粘连组织中,他们精细分离,小心保护心脏、大血管等关键结构;麻醉团队则全程提供精准的循环管理与生命支持,为手术的顺利进行保驾护航。最终,团队经历十小时成功将颈、胸腔内的复发肿瘤最大程度切除。



术后,小宇生命体征平稳,经儿科重症监护病房(PICU)进一步的密切监护和治疗,患儿病情逐渐平稳,后转入胸外科普通病房。在医护人员的精心救治及照料下,于11月10日顺利出院,已无憋喘等症状此次手术的成功,展现了北京儿童医院多学科团队在应对儿童复杂复发性肿瘤方面精准的协作能力和高超的技术水平,再次彰显了国家儿童医学中心应对疑难重症的雄厚实力。









.jpg)

.jpg)




